¿Cómo crecen los huesos de tu cachorro?
Si tienes un cachorro, probablemente te hayas preguntado cómo esos huesos pequeños y frágiles se transforman en la estructura sólida de un perro adulto. La respuesta está en unas estructuras fascinantes llamadas placas de crecimiento o placas epifisarias, que son las verdaderas responsables de que tu cachorro crezca en altura y longitud.
A diferencia de lo que muchos piensan, los huesos de los cachorros no crecen de manera uniforme en toda su superficie. El crecimiento se concentra en zonas específicas llamadas placas de crecimiento, que son áreas de cartílago activo situadas cerca de los extremos de los huesos largos (como el fémur, la tibia, el radio o el húmero).
¿Qué son exactamente las placas de crecimiento?
Las placas de crecimiento son estructuras complejas compuestas principalmente de cartílago hialino —un tejido blando y flexible— que gradualmente se transforma en hueso sólido a medida que el cachorro madura. En una radiografía de un cachorro, estas placas se ven como líneas más oscuras entre el extremo del hueso (epífisis) y el cuerpo principal (diáfisis).

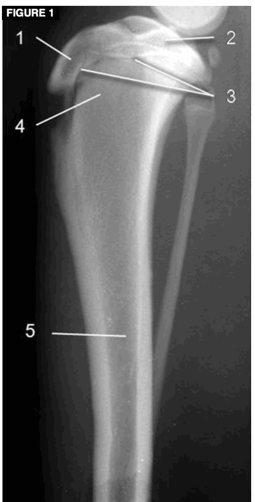
Anatomía básica de la tibia canina. (1) Apófisis (epífisis de tracción); (2) epífisis (epífisis de presión); (3) placa epifisaria; (4) metáfisis; (5) diáfisis. Obsérvese la zona ovalada y radiotransparente en el tubérculo tibial craneodistal. Se trata de una característica normal en perros jóvenes en crecimiento y no de una afección patológica.
Imagina la placa de crecimiento como una fábrica organizada en diferentes zonas, cada una con una función específica:
Las zonas de la placa de crecimiento
1. Zona de reserva: es como el almacén de la fábrica. Aquí residen células cartilaginosas (condrocitos) en estado de reposo, esperando su turno para entrar en acción. Esta zona tiene poco oxígeno y las células obtienen sus nutrientes solo por difusión, lo que la hace vulnerable a problemas nutricionales.
2. Zona proliferativa: aquí es donde ocurre la magia del crecimiento. Las células se multiplican rápidamente y se organizan en columnas ordenadas, como si fueran pilas de monedas alineadas. Esta zona tiene alta actividad metabólica y buena oxigenación.
3. Zona hipertrófica: en esta zona, las células aumentan hasta cinco veces su tamaño original. Es aquí donde comienza el proceso de transformación del cartílago en hueso. Sin embargo, esta zona es la más débil mecánicamente, lo que la convierte en el punto vulnerable donde suelen producirse las fracturas en cachorros.
El punto débil: por qué los cachorros son más frágiles
Aquí viene la información crucial para cualquier tutor de cachorro: la zona hipertrófica es el eslabón débil de todo el sistema. Mientras que en un perro adulto el hueso es una estructura sólida y resistente, en un cachorro esta zona de cartílago no puede soportar impactos fuertes, torsiones bruscas o ejercicio excesivo.
Los investigadores Salter y Harris demostraron en estudios experimentales que las fracturas en cachorros se desarrollan comúnmente a través de esta zona hipertrófica, que es mecánicamente la más débil de la placa de crecimiento. Más preocupante aún, estudios posteriores han revelado que en muchos casos las fracturas pueden interrumpir células en la zona proliferativa —la zona de crecimiento activo— lo que puede empeorar significativamente el pronóstico para el crecimiento futuro.
La vulnerabilidad del suministro sanguíneo
Otro aspecto crítico es que la zona hipertrófica es avascular, es decir, no tiene vasos sanguíneos que la atraviesen. Esto significa que esta zona no recibe oxígeno directamente y depende de la difusión de nutrientes desde las zonas vecinas. Esta característica la hace especialmente vulnerable a traumatismos y problemas nutricionales.

Las arterias epifisarias solo proporcionan vascularización hasta la zona proliferativa, a una profundidad de aproximadamente 10 células, sin que ningún vaso penetre más allá. Esta limitación en el suministro sanguíneo es uno de los motivos por los que las lesiones en las placas de crecimiento pueden tener consecuencias tan graves.
Cronología del crecimiento: cuándo tu cachorro es más vulnerable
No todos los momentos del desarrollo de tu cachorro son igual de críticos. En perros, el crecimiento mayor ocurre entre los 3 y 6 meses de edad, y la mayoría alcanza el 90% de su tamaño adulto al final de los 9 meses.
La mayoría de las placas de crecimiento cierran entre los 4 y 12 meses de edad, dependiendo del sitio anatómico y la raza del perro. Sin embargo, hay una excepción importante: en razas gigantes, las placas de crecimiento pueden permanecer abiertas hasta los 15-18 meses de edad.
Diferentes placas, diferentes calendarios
No todas las placas de crecimiento cierran al mismo tiempo. Aquí está el dato más importante para entender el crecimiento:
- En las extremidades delanteras: la placa proximal del húmero (cerca del hombro) es responsable del 80% del crecimiento del hueso, mientras que la distal (cerca del codo) solo contribuye un 20%.
- En las extremidades traseras: la placa distal del fémur (cerca de la rodilla) contribuye un impresionante 75% al crecimiento total, mientras que la proximal (cerca de la cadera) solo aporta un 25%.
- En la tibia: la distribución es más equilibrada, con la placa proximal contribuyendo un 55% y la distal un 45%.
Este conocimiento es fundamental porque las placas que más contribuyen al crecimiento permanecen abiertas durante más tiempo, dejando al cachorro vulnerable durante un período más prolongado.
Las lesiones en cachorros: más comunes de lo que pensamos
Aquí vienen las estadísticas que todo tutor de cachorro debería conocer: aproximadamente el 50-54% de los perros con fracturas de huesos largos son menores de 1 año, y entre estos casos reportados, el 30% presentaba trauma en la placa de crecimiento mientras que el 7% desarrolló deformidades permanentes del crecimiento.
En un estudio de 92 perros con deformidad del crecimiento, el 75% mostró un trastorno del cúbito o radio (los huesos del antebrazo). Esto tiene sentido cuando entiendes que las extremidades delanteras soportan aproximadamente el 60% del peso corporal del perro, especialmente durante actividades como saltar o frenar bruscamente.
El sistema de clasificación de Salter-Harris
Los veterinarios utilizan un sistema de clasificación llamado Salter-Harris para categorizar las fracturas de las placas de crecimiento según su gravedad:
Tipo I y II (65.5% de los casos): son las más comunes. La fractura ocurre a través de la placa de crecimiento, con o sin afectación de la metáfisis. Con reducción y fijación tempranas, se espera curación sin complicaciones en 3 a 4 semanas.
Tipo III y IV (25.5% de los casos): estas fracturas son más graves porque involucran la superficie articular. El pronóstico puede ser bueno si se logran reducción temprana y buena reconstrucción de la superficie articular, pero existe riesgo de artritis prematura.
Tipo V (las más preocupantes): se producen por compresión de la placa de crecimiento y no siempre son visibles en las radiografías inmediatamente después de la lesión. Las fracturas tipo V en perros menores de 6 meses están a menudo asociadas con un pronóstico pobre debido a la destrucción de las células en la capa germinal.
¿Por qué el ejercicio excesivo es peligroso para los cachorros?
Ahora que entiendes la estructura y vulnerabilidad de las placas de crecimiento, queda claro por qué el ejercicio excesivo puede ser tan perjudicial:
1. Impacto repetitivo
Actividades como correr sobre superficies duras, saltar repetidamente o jugar de forma muy brusca generan microtraumatismos en las placas de crecimiento. Aunque cada impacto individual pueda no ser suficiente para causar una fractura, la acumulación de estos microtraumatismos puede dañar las células de la zona proliferativa, afectando el crecimiento futuro.
2. Fuerzas de torsión
Los giros bruscos, los derrapes y los cambios rápidos de dirección —comunes en juegos intensos o deportes caninos— ejercen fuerzas de torsión sobre las placas de crecimiento que el cartílago no está diseñado para soportar.
3. Sobrecarga por compresión
Ejercicios que implican llevar peso excesivo (como subir escaleras constantemente, especialmente en razas grandes) o saltos desde alturas comprimen las placas de crecimiento. Esta compresión repetida puede causar fracturas tipo V, las más difíciles de diagnosticar y con peor pronóstico.
4. Desequilibrio en el desarrollo muscular
El ejercicio excesivo puede desarrollar musculatura antes de que el esqueleto esté preparado para soportarla, creando desequilibrios biomecánicos que aumentan el estrés sobre las placas de crecimiento.
Consecuencias de las lesiones en las placas de crecimiento
El grado de retardo en el crecimiento óseo después de una lesión fisaria es aproximadamente proporcional al crecimiento potencial restante y la severidad del daño. Esto significa que cuanto más joven es el cachorro, más graves son las consecuencias de una lesión en la placa de crecimiento.
Las posibles secuelas incluyen:
- Acortamiento de la extremidad: si una placa de crecimiento se cierra prematuramente, ese hueso dejará de crecer mientras los demás continúan, resultando en una extremidad más corta.
- Deformidades angulares: cuando solo una parte de la placa se cierra (por ejemplo, el lado interior pero no el exterior), el hueso crece de forma desigual, creando deformidades angulares como «patas arqueadas».
- Incongruencia articular: si las dos placas de crecimiento que forman una articulación (como el radio y el cúbito en el antebrazo) no crecen al mismo ritmo, puede producirse desalineación articular, causando artritis prematura y dolor crónico.
- Formación de puentes óseos: cuando una fractura está desplazada y se extiende al borde fiseal-epifisario, puede formarse un puente óseo entre la epífisis y la metáfisis, resultando en cese del crecimiento y desarrollo de deformidad angular.
La regla de oro: los 5 minutos por mes de edad
Basándose en el conocimiento sobre el desarrollo de las placas de crecimiento, muchos veterinarios y criadores responsables recomiendan la regla de los 5 minutos: 5 minutos de ejercicio estructurado por cada mes de edad del cachorro, hasta dos veces al día.
Por ejemplo:
- Un cachorro de 3 meses: 15 minutos, dos veces al día
- Un cachorro de 4 meses: 20 minutos, dos veces al día
- Un cachorro de 6 meses: 30 minutos, dos veces al día
Esta regla es especialmente importante para razas medianas y grandes, donde las placas de crecimiento permanecen abiertas durante más tiempo.
Ejercicio seguro para cachorros: recomendaciones prácticas
LO QUE SÍ DEBES HACER:
- Juego libre en superficies blandas: deja que tu cachorro juegue a su propio ritmo en césped o arena. Ellos mismos regularán su actividad y descansarán cuando lo necesiten.
- Paseos cortos y frecuentes: mejor varios paseos cortos que uno largo. Esto permite al cachorro explorar y socializar sin sobrecargar sus articulaciones.
- Natación supervisada: es uno de los mejores ejercicios para cachorros porque fortalece la musculatura sin impacto en las articulaciones.
- Juegos de olfato: ejercicios mentales como buscar premios escondidos o seguir rastros cansan al cachorro sin estresar sus huesos.
- Socialización controlada: jugar con otros perros es importante, pero supervisa que el juego no sea demasiado brusco, especialmente si el otro perro es mucho más grande.
LO QUE DEBES EVITAR:
- Saltos repetitivos: nada de saltar para atrapar frisbees, saltar vallas o bajar de sitios altos (incluido el sofá o la cama para razas grandes).
- Correr junto a bicicletas o mientras tú haces running: tu cachorro intentará seguir tu ritmo incluso cuando esté exhausto.
- Subir y bajar escaleras constantemente: especialmente peligroso para razas grandes y gigantes. Si es inevitable, sube a tu cachorro en brazos.
- Juegos de tira y afloja agresivos: pueden generar fuerzas de torsión dañinas. Si juegas, hazlo suavemente y deja que el cachorro «gane».
- Superficies resbaladizas: los pisos de baldosa o madera pulida hacen que el cachorro resbale, forzando las articulaciones de forma antinatural.
- Sesiones de entrenamiento con saltos: agility, parkour canino u otros deportes deben esperar hasta que las placas de crecimiento estén completamente cerradas.
Señales de advertencia: cuándo acudir al veterinario
Dado que estudios recientes sugieren que es prudente proporcionar un pronóstico cuidadoso a reservado independientemente del tipo de fractura de Salter-Harris, ya que el cierre prematuro parcial o completo de la placa de crecimiento y el desarrollo de deformidad ósea se observan frecuentemente, es fundamental estar atento a cualquier señal de problema:
- Cojera persistente: cualquier cojera que dure más de 24 horas merece atención veterinaria.
- Inflamación cerca de las articulaciones: especialmente en las zonas donde están las placas de crecimiento.
- Dolor al manipular las extremidades: si tu cachorro llora o se queja cuando le tocas ciertas áreas.
- Cambios en la marcha: si notas que camina de forma diferente o evita apoyar peso en una pata.
- Deformidades visibles: si percibes que una pata se está desarrollando diferente a la otra.
Consideraciones especiales según la raza
Razas pequeñas (menos de 10 kg)
- Las placas suelen cerrar más temprano (7-9 meses)
- Mayor riesgo en radio y cúbito
- Cuidado especial al manipularlos; sus huesos son muy finos
Razas medianas (10-25 kg)
- Crecimiento más equilibrado
- Placas cierran entre 8-12 meses
- Mayor riesgo durante juegos con perros más grandes
Razas grandes y gigantes (más de 25 kg)
- Período crítico extendido: las placas pueden permanecer abiertas hasta 15-18 meses
- Mayor riesgo de displasia de cadera y codo
- El peso corporal aumenta más rápido que la maduración esquelética
- Especial cuidado con:
- Subir/bajar escaleras
- Saltar desde superficies elevadas
- Correr sobre superficies duras
- Giros bruscos durante el juego
El caso especial de la «enfermedad de Osgood-Schlatter»
En medicina humana, la enfermedad de Osgood-Schlatter describe una avulsión benigna de fragmentos cartilaginosos u óseos de la inserción del tendón rotuliano a la tibia, vista predominantemente en adolescentes atléticamente activos en crecimiento rápido, causada por trauma tensil agudo o crónico.
En perros, se observa una separación leve del tubérculo tibial completo de la metáfisis tibial proximal, por lo que el término «fractura por avulsión leve» puede ser más apropiado. Esta condición es particularmente relevante porque ilustra perfectamente cómo el ejercicio excesivo —especialmente actividades que implican tensión repetida del tendón rotuliano como saltar— puede causar lesiones en cachorros activos.
Nutrición: el aliado silencioso del crecimiento
Aunque este artículo se centra en el ejercicio, es imposible hablar de placas de crecimiento sin mencionar la nutrición. La zona de reserva de la placa de crecimiento tiene baja tensión de oxígeno y los nutrientes llegan solo por difusión, lo que puede ser importante para la etiología de diversas patologías del crecimiento.
Puntos clave nutricionales:
- Calcio y fósforo equilibrados: no más, no menos. El exceso puede ser tan perjudicial como la deficiencia.
- Evita suplementos sin supervisión veterinaria: especialmente en razas grandes y gigantes.
- Alimento específico para cachorros de su talla: los cachorros de razas grandes necesitan fórmulas especiales con menor densidad calórica para ralentizar el crecimiento (sí, crecer más despacio es más saludable).
- Control de peso: un cachorro con sobrepeso ejerce más presión sobre sus placas de crecimiento en desarrollo.
El equilibrio perfecto: ejercicio suficiente pero no excesivo
El objetivo no es tener un cachorro sedentario —eso también sería perjudicial para su desarrollo muscular, cardiovascular y mental— sino encontrar el equilibrio adecuado. Los cachorros necesitan:
- Ejercicio físico moderado para desarrollar musculatura que soporte correctamente el esqueleto
- Estimulación mental para un desarrollo cognitivo saludable
- Socialización para convertirse en perros equilibrados
- Descanso abundante (los cachorros deben dormir 18-20 horas al día)
Conclusión: paciencia durante el crecimiento
Entender cómo funcionan las placas de crecimiento te ayuda a comprender por qué los veterinarios y criadores responsables insisten tanto en limitar el ejercicio durante el primer año de vida. No se trata de sobreproteger a tu cachorro, sino de proteger su futuro.
Cuanto más joven es el animal —especialmente aquellos menores de 6 meses— más serias son las consecuencias para el crecimiento óseo longitudinal tras una lesión. Un año de paciencia y ejercicio controlado puede marcar la diferencia entre un perro adulto con articulaciones sanas y sin dolor, y un perro que desarrolla artritis prematura, cojera crónica o deformidades que requieren cirugías correctivas costosas y complejas.
Recuerda: las placas de crecimiento son estructuras delicadas y temporales. Una vez que se cierran (entre los 12-18 meses dependiendo de la raza), tu perro podrá disfrutar de todo tipo de actividades físicas. Pero durante ese crucial primer año, tu responsabilidad es proteger esas «fábricas de crecimiento» que están trabajando arduamente para construir el esqueleto que acompañará a tu perro el resto de su vida.
La inversión en paciencia durante los primeros meses se traducirá en años de vida activa y sin dolor para tu mejor amigo.
Nota importante: este artículo tiene fines informativos y divulgativos. Ante cualquier duda sobre el desarrollo de tu cachorro o si observas cualquier signo de cojera o molestia, consulta siempre con tu veterinario.
¿Quieres profundizar más?
Si te apasiona comprender el comportamiento y la salud canina desde una mirada científica, te invito a unirte al Club Canino Científico. Es un espacio de formación y divulgación para profesionales y apasionados del comportamiento y la salud canina, donde encontrarás artículos, recopilaciones de estudios y podcasts que te ayudarán a comprender mejor a los perros desde la evidencia científica más actual.
- Estudios recientes comentados en profundidad.
- Análisis etológicos, funcionales y emocionales.
- Recursos descargables y ejemplos prácticos.
- Reflexiones aplicadas al trabajo de campo y la intervención conductual.
👉 Accede aquí al El Club Canino Científico
Referencia
- Von Pfeil, D. J., & DeCamp, C. E. (2009). The epiphyseal plate: physiology, anatomy, and trauma. Compendium (Yardley, PA), 31(8), E1-11.